吃猫屎才能感染弓形虫?谁编的这么恶心的谣言

如果你养猫,那你十有八九听说过弓形虫;如果你养猫并且还想要孩子,那我猜你还因为弓形虫的问题跟家人或朋友吵过架。有的人甚至没听过弓形虫的名字,但是就一口咬定怀孕不能养宠物。
那么,这个弓形虫到底是何方神圣,能让准孕妇或其家人闻风丧胆?

今天的主角不是猫,但猫必须出现。图片:Chelinchan24 / Wikimedia

弓形虫不是虫
刚地弓形虫Toxoplasma gondii,一般简称为弓形虫,是一种细胞内寄生虫,可以随血液流动到宿主体内的各个部位。虽然名字中有个“虫”,但弓形虫并不是动物,而是属于SAR超类群下的囊泡虫类。
刚地弓形虫只有一个血清类型,但在不同地区,对不同宿主的致病性不同,所以其分离株可分为I型、II型和III型。
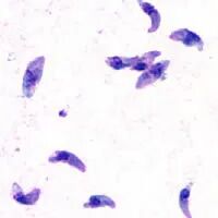
弓形虫的一生主要有三种形态:滋养体(速殖子)、包囊(内含虫体,虫体也叫缓殖子)和卵囊。其中,对速殖子外形的官方描述为“新月形”,而速殖子也是急性感染期的常见形态,所以人们称这种寄生虫为“弓形虫”。

染色后的弓形虫速殖子,可以看到近似弓形的虫体。图片:Wikimedia

弓形虫这辈子
弓形虫的一生,可以用“殊途同归”形容。弓形虫选择中间宿主可谓是涉猎广泛——共计200多种温血动物(包括人)都能够感染弓形虫,如猪、牛、羊、马、鸡、犬、猫等畜禽,以及狼、狐狸、野猪、熊等野生动物。
好在因为猫科动物是弓形虫的单一终末宿主,这点限制了弓形虫在自然界的发挥(因为猫科动物在野外天敌较少,很少有动物通过捕食猫科动物感染弓形虫),不然这家伙早就在自然界泛滥了。

弓形虫生活史。弓形虫的卵囊、包囊被猫科动物吞下后,子孢子和缓殖子会在猫科动物体内增殖后形成卵囊。卵囊随粪便排出体外后,可发育为孢子化卵囊,再被中间宿主吞食,便可在中间宿主体内形成速殖子继续增殖,在宿主的细胞中产生囊壁,再次形成包囊。图片:《默沙东诊疗手册家庭版》

并不是只有猫会感染
尽管提到弓形虫很多人都会联系到猫,但其实从生活习性的角度来说,狗比猫更容易感染弓形虫,因为狗经常外出散步,从而增加了感染弓形虫的风险;而在科学饲养的前提下,猫大部分时间宅在室内,因此感染弓形虫的概率并不高。

遛狗时注意不要让狗随地捡食不明物体。图片:PxHere
不过,由于猫是弓形虫的终末宿主,弓形虫只在猫体内产生新的虫卵,所以只有猫才能传播弓形虫病,而狗或其他动物都不会传播弓形虫。
多数猫在感染弓形虫后不表现临床症状,但当被感染的器官(如肺脏、肝脏、眼睛)出现坏死时,会表现出临床症状,一般表现为厌食、发热、昏睡、呼吸困难以及眼部病变等。

弓形虫感染造成的眼部病变。图片:《猫病学》
对于宠物来说,感染弓形虫的途径都是相似的。当动物食用了被感染的生肉后,就有可能感染弓形虫。散养家猫感染弓形虫的风险是比较高的,因为它们会捕食野生的鼠类或鸟类。
所以为了你家猫和野生动物的安全,请一定不要散养猫!

为什么总强调孕妇
事实上,任何人都有感染弓形虫的风险。全世界约25%的人表现为弓形虫血清学阳性。在发达国家,弓形虫是感染人类最普遍的寄生虫之一。中国的弓形虫血清抗体阳性率约为6%。

在中国,住楼房的人大多是在室内养猫,而欧美国家有院子的家庭中,散养猫的情况比较多。这也是欧美国家人感染弓形虫比例较高的原因之一。图片:Pixabay
在被感染的最初几周,感染者有可能表现出类似感冒的症状,少数免疫力低下的人群(如艾滋病患者),可能出现淋巴结肿痛,以及肺部、眼部等部位的症状。不过,大多数身体健康的成年人几乎不表现出症状。
弓形虫会以包囊的形式,在宿主体内存活数月甚至数年之久,被感染的人或动物就是所谓的“无症状感染者”。
之所以强调能感染孕妇,是因为弓形虫可以通过胎盘传染给胎儿,母婴传播发生的概率约为30%~50%。

怀孕期间宠物怎么办,是很多打算要孩子的家庭需要面对的问题。图片:wallpaperflare
婴儿感染弓形虫若发生在妊娠早期,会引起较严重的后果,包括流产、畸形胎或死胎;若发生在妊娠晚期,胎儿可能早产,也有可能在出生时无临床症状,但出生数月或数年后出现眼部疾病或精神发育障碍。

怀孕后,猫要送走吗?
弓形虫不会凭空产生,所以如果你家的猫不是弓形虫感染者,它就不会传播弓形虫病。
那如果你家的猫真不巧感染了弓形虫呢?总的来说,猫把弓形虫传染给人的条件是比较苛刻的:
1. 猫是首次感染弓形虫(因为猫如果曾经感染过弓形虫,再次感染时一般不会大量排出虫卵);
2. 猫在1~2周内排出含有虫卵的粪便(猫感染弓形虫超过3周一般不再排出虫卵);
3. 这泡带有虫卵的粪便,在适宜的条件下经过了1~3天,形成了孢子(虫卵在形成孢子之前没有感染力);

猫砂及时清理,不光不臭,还能降低感染弓形虫的概率。图片:Ocdp / Wikimedia
4. 人接触了这泡屎,例如铲屎后不洗手直接拿东西吃,不是让你吃屎;或猫接触了这泡屎后,碰了人的食物,人直接吃掉这个食物,这样才有可能感染弓形虫(食物加热到70℃,保持10分钟以上,就可以杀灭虫卵)。
人感染弓形虫的过程, 完美诠释了“病从口入”的道理。

如何预防弓形虫?
真遗憾,目前还并没有研制出针对弓形虫病的疫苗。但是我们通过研究弓形虫的传播条件,就可以采取相应措施大幅降低感染弓形虫的风险。
养猫习惯
再说一次不要散养家猫!外出遛猫时要严格看管猫不要乱吃室外的动植物,避免家猫与野生动物接触;
摸完猫后记得洗手;
饲喂正规猫粮,避免饲喂未经处理的生肉;
每天及时清理猫砂,定期对猫砂盆消毒;
平时定期给宠物做驱虫,宠物的蛔虫和钩虫也可以传染给人类。

宠物也要注意严防“病从口入”。图片:Robert W. Howington / flickr
个人卫生
加热食物一定要熟透;
处理过生肉后需及时清理菜刀、菜板,并认真洗手;
生吃蔬菜水果时要清洗干净。
对于孕妇
并不需要与你的猫或其他宠物分开,但可以暂停铲屎工作;
可带猫去宠物医院做血液检查,检测IgG和IgM,兽医师会给你他们的判断和建议;
在确定猫没有感染弓形虫的基础上,暂时限制猫的外出。
科学理性地看待弓形虫,才能更好地避免弓形虫感染,宠物猫和弓形虫并不是充分必要条件的关系。对于孕妇来说,只要养成良好的养猫习惯,注意个人卫生,就可以规避感染风险。

猫真是一种神奇的动物,但凡有了第一只,就想要第二只、第三只……想能吸遍全世界的猫?
英国的DK出版社这次将“魔爪”伸向了家猫,没错,就是那个百科全书专业户。

全书收录了130多种家猫,超多巨幅猫片,翻开书就有把头埋进去的冲动!


只收录了一些基本介绍,大可没必要看这本书了。
家猫在人类历史文化演进中扮演了什么样的角色?很多知名人士究竟如何宠猫?在书中都有详细的记录~

一直让诸多猫奴困惑的主子各种“神经病行为”也在书中得到解答,甚至还说明了应对策略。

吸猫神器《DK猫百科》 原价258
果壳商店直降80元,6.9折发售中!
戳下图开抢~


本文来自果壳,欢迎转发
如需转载请联系GuokrPac@guokr.com
戳原文立即吸猫!
