常年在国内某大型三甲医院皮肤科修行,就经常得帮各种民营医疗美容机构甚至美容院擦屁股——每周都能见识到因为各种匪夷所思的治疗手法所导致的千奇百怪的毁容现场,有的一次就足以致命,也有的虽能挽回,但也给当事人带来极大伤害。
看多了这些容易受伤的女人,本着一名云老王的责任,我决定把几个有代表性的案例写出来,让广大妹纸的美丽人生尽量不那么危险。
准备好了么?不要等,这一刻,请热吻。

很多女生会觉得,一颗痣而已,激光烧就烧了,药水点就点了,能出什么意外?
可凡事都有意外。

同样的一颗黑点,你看是痣,我看或是蓝痣,我导师那样的大牛看了却说,施主你这颗痣,贫尼观之不详,还是切了做个活检吧。结果出来,是个原位黑素瘤。这黑素瘤是众所周知的凶险,势不可当,杀人无算,百余年来无数志士克之而不得,但像这般被扼杀在襁褓,却可保事主一生无虞。

虽然表面看上去也是一个小黑点,但黑素瘤可比普通的痣凶险多了……
于是,你惊叹一声好险,多谢神医救我,导师拈花微笑,我在一旁低眉侍奉,皆大欢喜。

但各人有各人的缘法。不是每个恋曲都有美好回忆,也不是每个肿瘤都能被勘破形迹。神州大地几千年来多的是江湖骗子,不学无术,利欲熏心,但偏偏能舌灿莲花,三两句就撩动姑娘心里那点小九九:
几颗痣而已,还是电烧药浸吧,如果切掉留条刀疤多难看,以后怎么会情郎。
一咬牙一迷糊,姑娘就乖乖掏钱了。可做完之后才发现,怎么这痣阴魂不散,在原来的地方又长了出来?怎么还生了几颗小崽子在旁边?等醒过味儿来往大医院跑了,才发现已经是近处转移的黑素瘤了。

《非常勿扰2》中的李香山大家还有印象吗?
于是姑娘就在切除-复发-切除的循环中熬过了接下来的十几年活到现在,每天都害怕一睁眼黑素瘤就从全身冒出来,生不如死。
上面的故事是从国内一位黑素瘤泰斗那儿听来的,讲完后满座唏嘘。色素痣里的黑素瘤,就像人心底里的恶魔,平时不招惹他,也许就这样过了;要么就手起刀落,斩草除根,一样安全利落;可偏偏电烧药浸,除之不尽,反倒解开了封印,让恶魔觉醒,最后一点点把人吞噬殆尽。
所有的色素痣,优先考虑切除;如果直径<2mm,可以考虑电灼,但要是复发,只能切除。
绝对不能采用化学药物剥脱!反复刺激极易导致癌变!
30岁后出现的新发色素痣;
色素痣出现疼痛、颜色加深、出血或破溃;
周围出现卫星状损害;
附近淋巴结肿大。
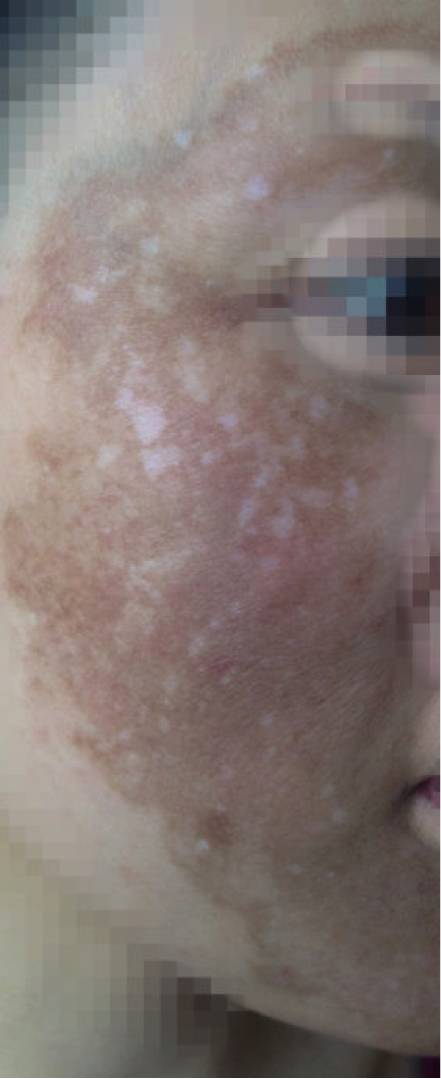
一个约莫四十出头的大妈躺在操作椅上,两眼紧闭,双手各攒着一个橡皮球,美容师塞给她的,说紧张的时候捏一下就好,只要这次激光能忍过去,包你的黄褐斑消失无踪,老公也会扔掉外面的狐狸精,乖乖回到身边,一切就都好了。大妈想起之前去了好几家大医院,医生总说黄褐斑打激光效果不确定,坚持不给打,绝望之际在街上看到这家美容院,虽然门脸不大,但医生护士亲切可人,最重要是能拍胸脯保证治好,虽然价钱比医院贵了好几倍,但只要能唤回老公,再多的钱也不在乎。
一刹那电光火石,激光的疼痛打断了大妈的思绪,让她不自觉地攥紧了双手……
……
一个月后,大妈果然坐在了导师和我面前,肥硕的腰身随着哭声一起抖个不停。不出所料,做完激光后大妈的脸更加斑驳——部分色斑加深了,还有部分色斑,虽然确实减淡了,但却直接淡得和白癜风一样,两相对照,白的愈白,黑的愈黑——老公也已经跟她提出离婚了。


导师长叹一声,缓缓说道:
这黄褐斑变化多端,神鬼莫测。虽然有同道试过光子嫩肤和大光斑低能量激光,但效果因人而异,几无规律,谁也不知道这次激光打下去,到底会有什么反应。因而对这黄褐斑,往往群雄束手,谁也不敢贸然行事。唯有那些美容院,求财第一,把激光能量调得极低,一波过去,通常毫无起色,钱却是照收不误。要是碰上黄褐斑自行慢慢消退了,他们还会宣布是自己治疗的效果。施主你不听贫尼劝告,执迷不悟,刚巧又碰到有人竟然给你调高了能量,现在色素沉着尚可服药,色素减退却因为黄褐斑的掣肘无法可解,都是冤孽啊。
我在一旁垂首叹道:
如是我闻:只是女人,容易一往情深,总是为情所困终于越陷越深。阿弥陀佛,善哉善哉。
上周末我连值两个夜班后睡得人事不省,突然接到了神经内科道友的电话:
有病人注射肉毒素瘦小腿,结果现在肉毒素中毒了,该怎么办?
“肉毒素瘦腿这么安全的操作都能中毒?都有什么症状啊?”

就是全身肌力减退呗,四肢乏力,吞咽困难,仅能进少量流食,言语不清,行走不便,关键连呼吸肌也受累,现在已经Ⅱ型呼吸衰竭,氧饱和度眼看着往下掉,已经联系麻醉科插管上呼吸机了。
“照你这么说,她在意识清醒的情况下,眼睁睁看着自己全身不能动,想说话张不开嘴,想呼吸扩不了胸,对自己的身体完全无能为力,比霍金还惨,想想也是蛮刺激的。”

谁TM要你感慨了!赶紧告诉我该怎么办!没记错的话,主要就是肉毒抗毒素对症和支持治疗吧?
“对呀!您色艺双绝学贯临床,这点问题还用得着问我?”
因为咱们医院没有常备肉毒抗毒素,我得现从疾控中心调,手续麻烦死了,等药到了病人都不知道是死是活,所以就想问问你们专科医生还有木有别的办法。
“并没有。然后我还是想知道,她到底是在哪儿打的针?”
家属说是在当地一家美容院,一天就把抬头纹、鱼尾纹、鼻背纹、木偶纹、瘦脸、瘦腿全都打了。
“就算光瘦腿一项操作的肉毒素剂量就远超过其他所有,可这样也都还是安全的。肯定是美容院想钱想疯了,愣是忽悠她把所有操作一次性做完,这一下就是几万进账。而且他们多半不是第一次这么干,只不过以前的人因为体质原因侥幸没出事,碰上这个病人肉毒素代谢能力相对较弱或者受体对肉毒素的敏感性相对较高,又一次性有大量毒素蓄积在体内,所以就快挂了。当然,更可能的是,她打的肉毒素是劣质或者过期产品。要真是这样的话,那这批产品大量流入市场,后果不堪设想……感觉你们在不久的将来就要变成ICU分部了呢!”

打肉毒素打到住院绝非个例,大家小心……
你再敢乌鸦嘴一句,友谊的小船就捞都捞不起来了好么!哎,本来我还想找你来瘦脸呢,现在看到这个病人,还是算了吧……
一个三十岁左右的少妇一脸惶恐地坐到了诊室里:
医生,我上周刚打了玻尿酸填充苹果肌和下巴,但不知道为什么,这些玻尿酸的形状天天都在变,我每天早上起来照镜子都觉得自己长得和前一天不一样!都快疯了!
导师见惯风浪,微微一笑问道:
“女施主你的玻尿酸多少钱一斤啊不对多少钱一瓶?”
大概一瓶不到一千吧。

迷之沉默。
眼看导师在拼命用内力压制内心弹幕,我问道:
“……是在哪家医院打的?”
就在我家旁边一家美容院呀。因为我经常去那儿洗脸,跟她们特别熟,所以她们说只收我内部价,好划算的!

迷之沉默,again。
导师咽下一口老血说:
“定形不稳定多数是因为玻尿酸里的交联剂质量不好,一般见于过期产品或者质量不合格的三无产品。”
你的意思是我被坑了?不可能,我跟她们老板经常打麻将的!坑谁也不敢坑我啊!别逗了!
“……嗯,定形不稳定的状况一般在几个月内会消失,女施主你就随缘吧。善了个哉的。”
……
一个月后,少妇带着另外一个女人来了。
医生!我现在脸的形状倒没天天变了,但苹果肌和下巴都是又红又肿!你看你看,苹果肌肿得真的像塞了个苹果进去!下巴也是,比以前长了好几厘米!
“嗯,确实,都能犁地了。”
对呀!也不知道里面到底长了什么!这个女的就是美容院老板,我专门把她抓过来了!上次不信您是我错了,这次您可得替我做主啊!
导师瞄了那个老板一眼,问道:
“你的玻尿酸是什么牌子的?”
“……”
“产品批号有么?进货渠道是什么?”
“……”
“你学过医么?有资格做操作么?你知道进针之后玻尿酸是注射在哪个层次么?知道可能出现的后果么?”
“……”
“……你注射的真的是玻尿酸么?”
“……”
喂你再不说话我就要报警了……

最后,看着少妇的超声检查结果,导师说:
“多半是异物肉芽肿,是身体对外来异物的炎症反应导致的。其实就算正规产品,也会有较低概率发生,但好在可以用免疫调节剂抑制炎症或者直接用透明质酸酶将玻尿酸溶掉,不会有大的影响。可惜这次连玻尿酸都不是,不仅诱发异物肉芽肿的概率大增,透明质酸酶也派不上用场,只能靠药物抑制炎症,慢慢捱到里面的东西自己被代谢掉。”
啊?那要多久呀?
“这……也还是随缘啊,短则数月,多则三五年吧。”
那我能告她么?
少妇一副分分钟要把那个老板撕烂的架势。
“哎,贫尼现在能说的是,玻尿酸或者肉毒素注射都是医疗操作,只有公立医院、私立美容医院或者诊所才有资格进行,美容院只能进行生活美容,否则就是非法行医,需要追究刑事责任;其次,你回去先让法院把注射的产品来源搞清楚吧,她从谁那儿进的货,怎么生产和运输,说不定法院还会给你一面好市民锦旗呢。”
……
看着少妇千恩万谢踌躇满志咬牙切齿地走了,我向导师感叹道:
“世人万般业障,多是自己造。或贪蝇头小利,或爱逢迎谄媚,或执迷不悟,或轻忽冒险而不自知,多少大好皮囊就毁在江湖骗子或自己手里。若是真勘不破红粉骷髅,为何又不来找我名门正派,虽然不能舌灿莲花许一个圆满,好歹也落个安心喜乐。大抵是我们崖岸自高,言语不肯迁就,病人不觉得亲近吧?”
“哪儿那么多废话?你能勘破红粉骷髅就去学法医啊!学什么皮肤科修什么臭皮囊?想说话正好啊,来来来,汇报下你最近课题进展,实验怎么样了?数据好看么?论文写出来了么?”
“老师,这些东西都还是梦幻泡影,不可描述……小心您的狮子吼!我这就面壁思考课题去……”
美白针,水光针都是啥?
靠谱吗?

如有需要请联系sns@guokr.com
我要看看是谁没点赞!

