网红都在做的小V脸手术,真的适合你吗?

今天,大家往往希望在镜头下显露出更小的头身比例。许多人都抱怨自己在镜头下显得更胖了。要知道,人眼观察到的世界并不同于镜头拍摄到的。有摄影师拍摄过一组镜头焦距从20mm到200mm的照片,镜头下的人脸发生了巨大的畸变。后来,作为“东亚邪术”之一的修图软件应运而生,结果之一就是大家P图时,P出了极其夸张的V字脸。

图丨Jim Zub Twitter
修图软件能修改照片中的样子,整形美容手术则可以直接对人的下颌角进行调整。半个多世纪以来,手术方式不断进步。最早施行的就是一次性直线截骨手术,术后就会发现缺失了正常的下颌角,没有优美的弧线。所以后来又有人提出了多次直线截骨。这种手术方法希望通过多次直线截骨能够形成类弧形的轮廓,但是下颌角切口不平整,效果并不理想。
两种下颌角手术
现在的手术方式通常有两种:一次性弧形下颌角截骨和下颌角外板劈除截骨。其他各种手术方式都是在此基础之上的变种。
可以想象,一次性弧形截骨会对侧面的角度改变更大,同时由于截除了外翻后突的下颌体,正面的宽度也得以改善。优秀的整形医师还会在弧形截骨的同时对下颌角外侧部分进行少量磨除,达到更加自然的修饰效果。

一种改良的弧形下颌角截骨术,使用往复锯子截除下颌角外侧部分后固定 | 文献[1]
而下颌角外板劈除截骨主要改善的就是正面宽度,对于原来的侧面可以保留自然弧度。现在的整形外科医师对下颌角肥大进行了简单的分型,并提出了相应的手术治疗方案:
轻型:方脸不明显,可以做下颌角截骨治疗;
中型:下颌角肥大外翻,应该做下颌角全层截骨或下颌角矢状外板劈除;
重型:下颌角肥大明显同时合并咬肌肥大,在手术截骨基础之上还可以切除部分咬肌;
复合型:伴小颌畸形的下颌角肥大,同时行下颌角截骨及颏部成形术。
因此,具体应该采用哪一种术式,还是要看患者原本的解剖特点。至于截除多少骨量,术前进行X光头影测量或者CT三维重建,才能精准地设计手术方案。

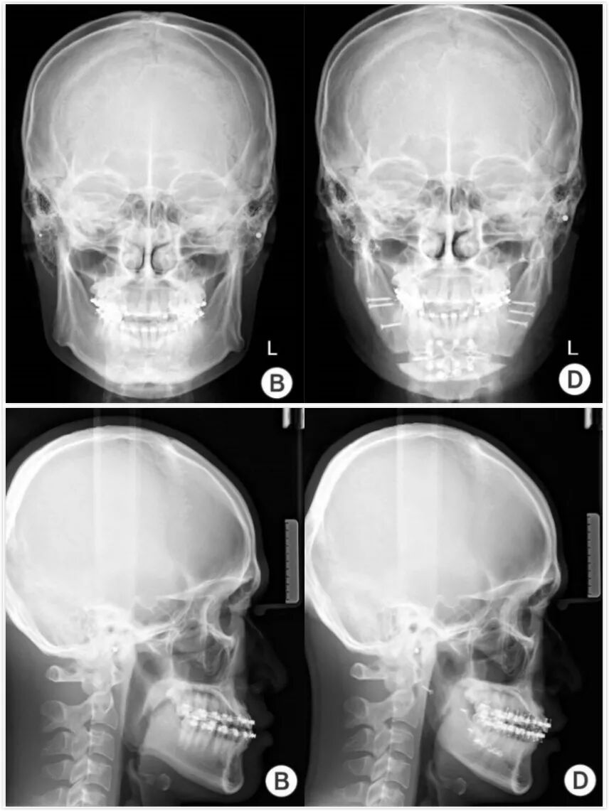
下颌角切除术的患者正侧面X片。左侧为术前X头影,可以看见明显外翻的下颌角。右侧为术后照片,从术后照片来看,他还做了颏延长手术| 文献[1]
下颌角截骨治疗之后会导致咬肌张力降低,患者在术后大约半年时间内会发生废用性萎缩,之后逐渐恢复。高加索人的咬肌肥大更加明显,可以在手术同时去除部分咬肌。而对于东亚人,如果确实有肌性肥大,截骨手术之后可以辅助注射少量A型肉毒素进行调整,达到更佳的效果。
极为凶险的并发症
必须说明的是,下颌角手术现在大都从口内进行解剖分离,术后没有外露的切口和瘢痕,貌似一个微创手术,但是有一个潜在的极为凶险的并发症,就是术中损伤动脉出血。
口内视野狭窄,一旦损伤面动脉,止血困难。这对没有经验的整形医生是一个巨大挑战。新闻报道中不时出现的因为下颌角手术死亡的案例,大多数的直接死因就是动脉损伤之后的失血性休克。所以如果考虑下颌骨整容,一定选择正规的医院,并且和医生沟通充分知晓并评估风险后,再下决定。(编辑:木易杨杨)
参考文献
[1] Kim, J. H., Han, S. J., & Kim, M. Y. (2017). New method for an evaluation of the esthetical improvements resulting from a mandibular angle reduction. Journal of the Korean Association of Oral and Maxillofacial Surgeons, 43(4), 239-246.

活儿姐
我赶脚方下巴的高级脸审美就要火了。

本文来自果壳,未经授权不得转载
如有需要请联系sns@guokr.com
(欢迎转发到朋友圈~)





扫一扫下载订阅号助手,用手机发文章
